Case 1
A 28-year-old lady has been referred to your clinic with right loin pain. She has no significant past medical history but mentions that she and her partner have been trying to get pregnant. She has an US renal initially, which demonstrates a mass in her right kidney. Her pregnancy test is negative, so you arrange a CT scan.

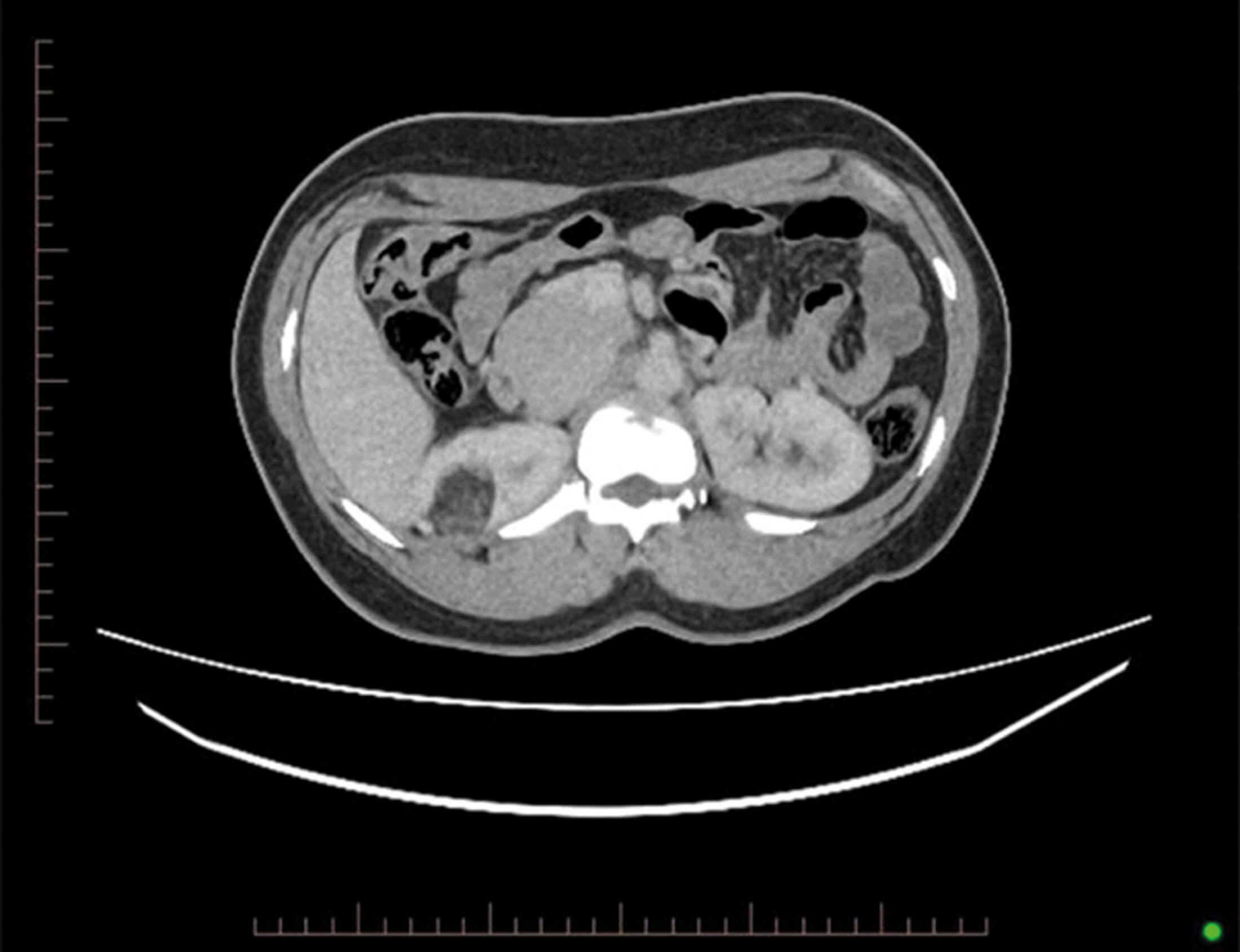
Figure 1.
- What is the abnormality shown on the CT scan?
- What genetic condition is this associated with and what is the genetic basis for this condition?
- What is the most common complication of this?
- What management options are available to the patient?
- What factors, according to European Association of Urology (EAU) guidelines, should be cause for consideration of active treatment?
Case 2
A 74-year-old gentleman admitted under the care of the medical team is referred to you due to findings on a CT scan. He presented to the medical team due to reduced mobility, weight loss, lethargy, and left flank pain. He has a background of hypertension, type 2 diabetes and ischaemic heart disease.

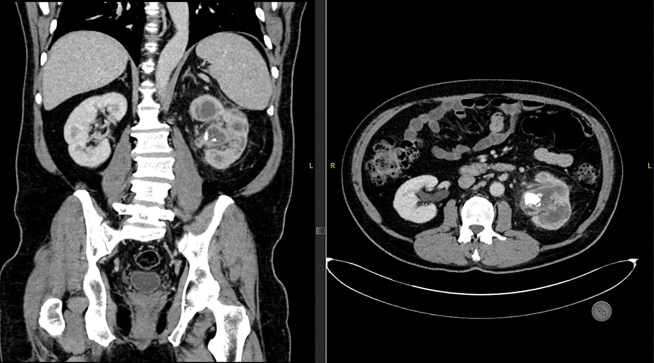
Figure 2.
- What is the likely diagnosis from the CT scan and what is the name given to the sign describing the kidney’s appearance?
- What is the hallmark histological finding in this condition?
- What are the most common organisms associated with this condition?
- What management would you advise?
Answers
Case 1
- This is an axial contrast enhanced CT scan of an abdomen and pelvis. The most striking abnormality is a right-sided interpolar renal angiomyolipoma (AML), approximately 3cm in its largest dimension.
- he genetic condition associated with AMLs is tuberous sclerosis complex, which is an autosomal dominant condition caused by inactivating mutations in TSC1 and / or TSC2. TSC1 encodes for harmatin on chromosome 9 and TSC2 encodes for tuberin on chromosome 16. These are critical components for the normal function of mammalian target of rapamycin (mTOR) [1]. mTOR is involved in regulating cell proliferation and apoptosis.
- The most common complication of AMLs is spontaneous haemorrhage. This is also known as Wunderlich syndrome [2].
- Angiomyolipomas are most commonly treated with active surveillance, selective arterial embolisation or nephron-sparing surgery. There is limited data for thermal ablation. Additionally, for patients diagnosed with tuberous sclerosis complex, everolimus can be considered [2,3].
- The EAU guidelines recommend active treatment with selective arterial embolisation or nephron-sparing surgery in patients with:
A. Large tumours (a recommended threshold does not exist, though classically >4cm was used this is no longer recommended).
B. Females of childbearing age.
C. Patients with inadequate access to follow up or emergency care.D. Persistent pain or acute / repeated bleeding episodes [4].
Case 2
- This is a coronal and axial contrast enhanced CT scan of an abdomen and pelvis. The most striking abnormality is the left 2.5cm PUJ calculus with calyceal dilatation, loss of renal cortex and perinephric inflammation. Additionally, the appearance is consistent with bear’s paw sign. This is xanthogranulomatous pyelonephritis (XGP).
- The diagnostic histological finding in this condition is lipid-laden foamy xanthomatous histiocytes [5]. This can be mistaken for clear cells of clear cell renal cell carcinoma, so immunohistochemistry can be useful. Xanthogranulomatous pyelonephritis will usually show diffuse positivity for CD68.
- The most common bacteria associated with this condition are E coli, P mirabilis and, P aeruginosa [6]. Other organisms that are less commonly associated include Staphylococcus aureus, group B Streptococcus, Candida, Klebsiella, and Bacteroides [7].
- The management of XGP is appropriate antibiotic therapy and a nephrectomy. Most nephrectomies for XGP are performed with an open approach. This is due to the technical challenges associated with the condition resulting in a dense inflammatory reaction, which makes dissection difficult. However, minimally invasive surgery is not contraindicated with up to one-third of cases being performed laparoscopically. This approach should only be taken in experienced hands with a willingness to convert if needed [7].
References
1. Franz DN. Everolimus in the treatment of subependymal giant cell astrocytomas, angiomyolipomas, and pulmonary and skin lesions associated with tuberous sclerosis complex. Biologics 2013;7:211-21.
2. Fernández-Pello S, Hora M, Kuusk T, et al. Management of Sporadic Renal Angiomyolipomas: A Systematic Review of Available Evidence to Guide Recommendations from the European Association of Urology Renal Cell Carcinoma Guidelines Panel. Eur Urol Oncol 2020;3(1):57-72.
3. Bissler JJ, Kingswood JC, Radzikowska E, et al. Everolimus for renal angiomyolipoma in patients with tuberous sclerosis complex or sporadic lymphangioleiomyomatosis: extension of a randomized controlled trial. Nephrol Dial Transplant 2016;31(1):111.
4. Ljungberg B, Bex A, Albiges L, et al. EAU Guidelines on Renal Cell Cancer. Uroweb.
https://uroweb.org/guidelines/renal-cell-carcinoma/
chapter/epidemiology-aetiology-and-pathology
[Link last accessed December 2023].
5. Li Li, Anil V. Parwani; Xanthogranulomatous Pyelonephritis. Arch Pathol Lab Med 2011;135(5):671-4.
6. Kuo CC, Wu CF, Huang CC, et al. Xanthogranulomatous pyelonephritis: critical analysis of 30 patients. Int Urol Nephrol 2011;43(1):15-22.
7. Gravestock P, Moore L, Harding C, Veeratterapillay R. Xanthogranulomatous pyelonephritis: a review and meta-analysis with a focus on management. Int Urol Nephrol 2022;54(10):2445-56.
