Case 1
- What is prostate specific antigen (PSA) and what is its function?
- According to the ERSPC Trial (at 13 years), what was the number needed to screen and diagnosed to prevent one prostate cancer death and what was the reduction in mortality demonstrated from screening?
- According to the PLCO Trial, what was the reduction in mortality demonstrated by screening?
- What reasons have been discussed to account for results of the PLCO Trial?
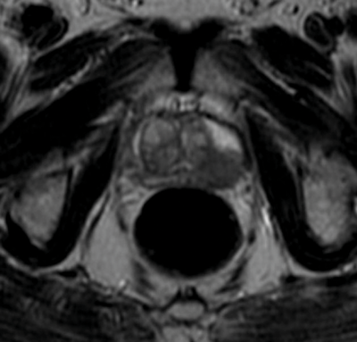
Case 2
A normally fit and well 62-year-old gentleman with a PSA of 6ng/ml has this axial T2-weighted MRI. His prostate biopsies demonstrated Gleason 3+3 disease from the left lobe and digital rectal examination (DRE) revealed a firm left lobe.

- What does the MRI show?
- What is the D’amico risk stratification of this patient?
- What treatment options are available for this patient?
Case 3
A 74-year-old gentleman is referred with a PSA of 238ng/ml. DRE reveals a hard nodular prostate.

- What type of radiological imaging is shown?
- What is the radiation exposure of this scan?
- What does it demonstrate?
- What treatment options are available?
- What is the prognosis of this patient?
Case 4
A 78-year-old man presented with a PSA of 2450ng/ml complaining of weakness in his legs and upper back pain. The sagittal MRI scan of his spine is shown below.

- What does this MRI scan show?
- Which primary cancers commonly cause this?
- What is the acute management?
Prostate cancer - answers
Case 1
-
It is a 34kDa human kallikrein 3 (serine protease) secreted by prostatic epithelial cells. Its role is to liquefy semen in the ejaculate.
-
Number needed to screen - 781; Number needed to be diagnosed - 27; Reduction in mortality - 21% [1].
-
No significant difference in prostate cancer-specific death was demonstrated in the screening arm of the PLCO trial [2].
-
The PLCO trial doesn’t appear to have been well controlled with contamination of the screening and control groups.
-
Nearly two-thirds of men randomised in the study underwent screening prior to entry into the study. This could have resulted in elimination of high-risk cancers before enrolment into the study
-
Only 85% of the screening group followed the screening protocol, while 52% of the control group underwent screening outside of the trial
-
Only 31% of men with an abnormal DRE and a PSA >4ng/ml actually underwent prostate biopsy
Case 2
-
There is a T2b-hypointense nodule in the left lobe of the prostate on MRI. It appears to be organ-confined.
-
Intermediate risk - which is defined as a PSA between 10 and 20, Gleason score of 7, or are in clinical stage T2b.
-
According to National Institute for Health & Care Excellence (NICE) guidance: active surveillance, radical prostatectomy, radical radiotherapy and brachytherapy.
Case 3
-
This is a bone scintigraphy or radionuclide whole body isotope bone scan.
-
Radiation exposure: 4-6 mSV.
-
The bone scan demonstrates ‘superscan’ due to extensive osteoblastic metastasis. When there is diffuse metastasis, all of the radiotracer is concentrated in the skeleton with little or no activity in the soft tissues or urinary tract.
-
Androgen deprivation therapy either through medical castration (luteinising hormone- releasing hormone agonist / antagonist therapy) or surgical castration (bilateral orchidectomy).
-
The overall five-year survival rate for a patient with metastatic disease is approximately 25%.
Case 4
-
This MRI of the spine (saggital section) shows a lesion causing compression on the spinal cord at the level of C6.
-
Breast, prostate, lung, kidney, thyroid.
-
Spinal cord compression in this setting is an acute oncological emergency. Failure to treat this condition promptly can result in permanent paraplegia and autonomic dysfunction. Initial urethral catheterisation and prompt administration of high-dose intravenous corticosteroids (e.g. a loading dose of 16mg dexamethasone followed by 4mg six-hourly), analgesia, bisphosphonates, and prophylactic gastric protection (e.g. proton pump inhibitor) is required. Urgent neurosurgical or oncological opinion should be sought for consideration of spinal cord decompression or radiotherapy.
References
1. Schröder FH, Hugosson J, Roobol MJ, et al. Screening and prostate cancer mortality: results of the European Randomised Study of Screening for Prostate Cancer (ERSPC) at 13 years of follow-up. Lancet 2014;384:2027-35.
2. Andriole GL, Crawford ED, Grubb RL 3rd, et al. Prostate cancer screening in the randomized Prostate, Lung, Colorectal, and Ovarian Cancer Screening Trial: mortality results after 13 years of follow-up. J Natl Cancer Inst 2012;104:125-32.
