In this, the inaugural uro-radiology article, Jane Belfield (Section Editor) considers the significance of Hounsfield units in defining stone composition. Despite its widespread adoption and referencing in stone MDTs, there are some very clear limitations. Jane explores the potential role of dual energy CT scanners (now cropping up in departments across the country) and considers how materials scanned may have similar electron densities but varying photon absorption and how this enables a classification of the chemical composition of the scanned material. I am sure this will become a familiar feature of CT-KUB reports in the future and help define those who might benefit from medical treatment at an early stage. We would like to welcome comments on and contributions to this new section - please email Jennifer@pinpoint-scotland.com to get in touch.
Tim Lane, Editor (2012-2015), Urology News.
Introduction
Unenhanced computed tomography kidneys, ureters and bladder (CTKUB) is the recommended gold standard imaging investigation for patients who present with acute renal colic due to its high level of safety and sensitivity [1]. It is a relatively quick investigation and can be performed at a low dose, minimising the risk of radiation to patients.
Improved CT acquisition techniques allow a lower radiation dose than was achieved with a traditional intravenous urogram (IVU) [2].When reporting a CTKUB, the radiologist should document size, number, location of calculi as well as any complications, such as obstruction. Certain information about stone composition can also be determined from CTKUB, which may help guide further management.
Stone composition
Uric acid calculi account for approximately 10% of renal tract stones and their identification may change management as urinary alkalinisation can be used to dissolve the stone. This may avoid more invasive treatments such as lithotripsy or percutaneous nephrolithotomy (PCNL), which are both expensive and have potential complications including renal haemorrhage, fibrosis or hypertension [3]. CT can be used to assess the composition of renal calculi, more traditionally by using Hounsfield units (HU), but recently using software and image acquisition techniques on a dual-energy CT scanner.
Hounsfield units
Sir Godfrey Hounsfield was an English engineer who jointly won the Nobel Prize in Physiology or Medicine in 1979 for his role in developing the first CT scanner used in medical practice. His name has been immortalised by the Hounsfield unit (HU), used on a daily basis by radiologists throughout the world. This is a quantitative measure of materials seen on CT; -1000 is air, 0 is water, +1000 is bone and all soft tissue structures lie somewhere on the spectrum.

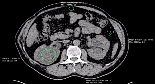
Figure 1: Unenhanced axial CT abdomen demonstrating the use of Hounsfield units.
Figure 1 shows an axial, unenhanced CT image of the upper abdomen, demonstrating different Hounsfield units of bone (HU 1037), air in the colon (HU -940), a cyst in the right kidney (HU 6) and peritoneal fat (HU -108). Hounsfield units can be used to characterise renal stones, with a uric acid stone having a lower Hounsfield unit than a calcified stone. A calculus >1000HU is more likely to be calcium and <500HU more likely to be uric acid. Previous studies have shown that extracorporeal shock wave lithotripsy (ESWL) is more successful, requiring less number of shock waves and sessions, in calculi with HU 750 or less [4].
Limitations of Hounsfield units
In order to measure a calculus using HU, the reporter must place a region of interest over the area to be measured and the mean HU value, maximum and minimum HU values and standard deviation will then appear on the screen. If a large region of interest is used, the maximum and minimum values may greatly differ. If the structure to be measured is small, as is often the case in renal tract calculi, it can be difficult to accurately place the region of interest. Mixed composition stones may give an inaccurate reading, making interpretation difficult. Previous studies have shown that there can be an overlap of attenuation values when used for characterisation of renal calculi, leading to a lower specificity [5].
Figure 2: Graph used to ascertain stone composition using a dual-energy CT scanner.
Dual energy CT
Recently, a new type of CT scanner has been more widely introduced - the dual energy CT. Two X-ray tubes are included in the CT scanner, which are used in a single scan acquisition. Images are acquired at twice the speed of a single energy scanner but the radiation dose is not increased. This can be better suited to patients who are unable to lie flat or hold their breath. The x-ray tube’s kilo voltage (kV) determines the average energy of photons in the x-ray beam. Changing the tube potential leads to an alteration of photon energy and a corresponding modification of the attenuation of the x-ray beam in the scanned material. In a dual-energy CT, two x-ray sources run simultaneously at different voltages, one at high-energy (140kV) and the other at lower energy (80kV), during a single image acquisition. Two data sets are therefore acquired which show different attenuation levels.
Materials scanned may have similar electron densities but varying photon absorption [6], and this enables a classification of the chemical composition of the scanned tissue. Uric acid calculi are composed of light chemical elements and have different x-ray attenuation properties at high and low kV than other types of stone which are composed of heavier elements such as calcium, phosphorus and struvite [7].
Images obtained at 140kV and 80kV are processed by software algorithms to enable characterisation of renal tract calculi. A single, fused image is provided for the radiologist to interpret.
The change in attenuation between high and low energy scans is used to differentiate uric acid from non-uric acid calculi. Studies have shown the sensitivities range from 88% to 100% and specificities range from 98% to 100% for the use of dual energy algorithm in identifying uric acid calculi [8]. Stolzmann et al. [9] showed that uric acid and non-uric acid calculi could be accurately distinguished by using a dual-energy CT with a dual-source CT scanner. They compared stones by looking at the differences in attenuation at 80 and 140kV and found significantly higher attenuation among stones containing no uric acid.
The attenuation value of each calculus is plotted on a graph using software available on the CT scanner, with 140kV value on the x-axis and 80kV on the y-axis. Figure 2 demonstrates the graph and how different calculi appear. The software algorithm then produces a further image, where a uric acid calculus is shown as red and non-uric acid as blue.
Limitations of dual-energy CT
In larger patients, the images achieved at 80kV can be noisy, leading to false reporting of renal calculi. Beam hardening can be more evidence in very large patients, which can modify the CT numbers, changing the position of the stone on the dual-energy graph. However, studies have shown that the dual-energy technique has correctly identified all calculi >3mm under all conditions [6]. The information given to the reporter differentiates uric acid from non-uric acid calculi, but does not allow further stone characterisation at present.
Figure 3: Uric acid calculus in the left kidney.

Figure 4: Non-uric acid calculus in the left kidney.
Interpretation of images
The CT scan needs to be interpreted as any CT, with the radiologist commenting on size and position of renal calculi as well as any signs of obstruction. The dual-energy stone algorithm analyses the attenuation values of any calculi at both energy levels and a further image is acquired. Figures 3 and 4 show the final image produced by the CT, using the software for stone composition. Figure 3 demonstrates a uric acid calculus, as shown in red, and Figure 4 shows a non-uric acid calculus, shown in blue. A mixed composition stone will contain both red and blue components.
Clinical example
A 59-year-old male patient who weighed 200kg presented with renal impairment and underwent unenhanced CTKUB. This showed bilateral renal calculi and a right ureteric stone with hydronephrosis. Retrieval of the right ureteric stone was going to be difficult due to patient weight and a dual-energy CT was therefore performed to ascertain if the calculus may be amenable to medical management. CT showed the right ureteric calculus was composed of uric acid (seen as red following stone algorithm), and the patient was treated medically rather than undergoing high-risk invasive treatment. Three months later the patient underwent repeat CTKUB, which demonstrated that the right ureteric stone had decreased in size and the hydronephrosis had improved.
Conclusion
Dual-energy CT provides an alternative method of assessing if renal tract calculi are composed of uric acid, which can therefore be treated medically rather than with more invasive techniques. However, dual-energy CT scanners are not available in every radiology department, and therefore, Hounsfield unit measurements are likely to continue to be used by many radiologists and urologists at the present time.
References
1. Boulay I, Holtz P, Foley WD, et al. Ureteral calculi; diagnostic efficacy for helical CT and implications for treatment of patients. Am J Roentgenol 1999;172(6):1485-90.
2. Kawashima A, Vrtiska TJ, LeRoy AJ, et al. CT urography. Radiographics 2004;24(Suppl 1):S35-S58.
3. Evan AP, Willis LR, Lingeman JE, et al. Renal trauma and the risk of longterm complications in shock wave lithotripsy. Nephron 1998;78:1-8.
4. Tarawneh E, Awad Z, Hani A, et al. Factors affecting urinary calculi treatment by extracorporeal shock wave lithotripsy. Saudi J Kidney Dis Transpl 2010;21:660-5.
5. Bellin MF, Renard-Penna R, Conort P, et al. Helical CT evaluation of the chemical composition of urinary tract calculi with a discriminant analysis of CT-attenuation values and density. Eur Radiol 2004;14(11):2134-40.
6. Flohr TG, McCollough CH, Bruder H, et al. First performance evaluation of a dual-source CT (DSCT) system. Eur Radiol 2006;16(2):256-68.
7. Primak AN, Fletcher JG, Vrtiska TJ et al. Noninvasive Differentiation of Uric Acid versus Non-Uric Acid Kidney Stones Using Dual-Energy CT. Acad Radiol 2007;14(12):1441-7.
8. Fornaro J, Leschka S, Hibbeln D, et al. Dual and multi-energy CT: Approach to functional imaging. Insights into Imaging 2011;2(2):149-59.
9. Stolzmann P, Scheffel H, Rentsh K, et al. Dual-energy computed tomography for the differentiation of uric acid stones: ex vivo performance evaluation. Urol Res 2008;36(3-4):133-8.


