Case 1
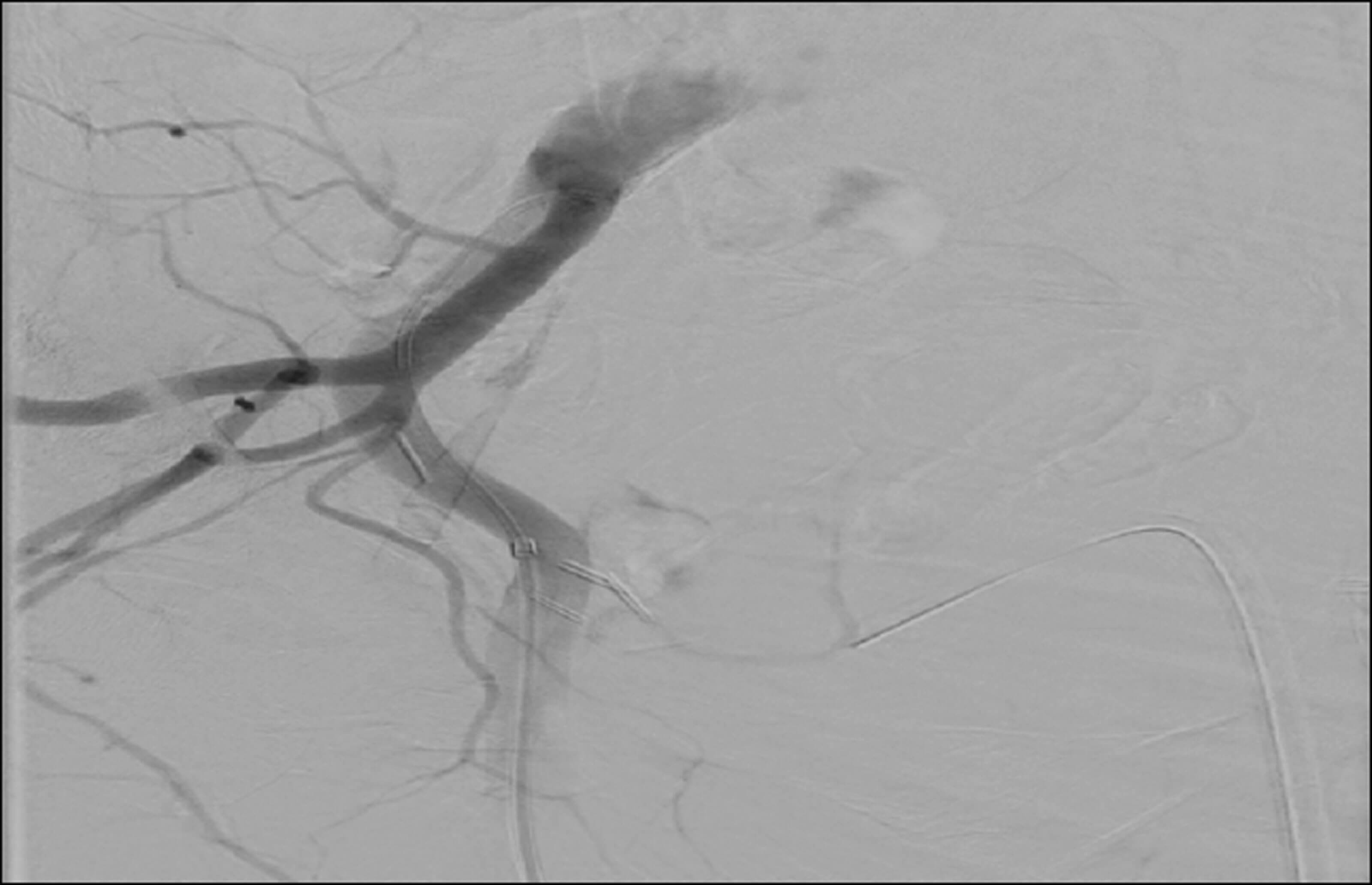
An 86-year-old male presented with visible haematuria and suprapubic pain. He had a history of diabetes, heart failure, benign prostatic hypertrophy, aortic valve replacement, deep vein thrombosis (DVT) and atrial fibrillation (AF) and was anticoagulated on a non-VKA oral anticoagulant (NOAC). Despite conservative measures of washouts and irrigation via a three-way catheter, the bleeding continued. Using the arteriogram, the source of bleeding was identified, with interventional radiological guidance. Interventional radiology then attempted prostate artery embolisation to contain the bleeding. The left prostatic artery was identified, cannulated and embolised, the right prostate artery failed cannulation due to the presence of an atherosclerotic plaque (Figure 1).

Figure 1.
- From which artery does the prostate artery branch off? Which arteries are targeted in prostate artery embolisation?
- What imaging is required in preparation of a patient for consideration of prostate artery embolisation?
- What are the side-effects of embolisation of the prostate?4. What are the indications for prostate artery embolisation?
Case 2
A 74-year-old male patient presented with visible haematuria and clot retention with a background of radical prostatectomy and salvage radiotherapy for a Gleason 9, T3b N1 M0 prostate cancer 13 years ago. The patient was managed for haemorrhagic radiation cystitis and was taken to theatre for bladder washes and diathermy twice but this had very little effect. Embolisation of bilateral superior vesical arteries was performed by interventional radiology (Figure 2). Post procedure, the patient recovered well and his haematuria settled prior to discharge.

Figure 2.
- What is the main arterial supply to the bladder?
- What are the indications for bladder embolisation?
- How is embolisation of the bladder performed?
- What are the possible complications with embolisation of the bladder?
- What are the alternatives to bladder embolisation for haemorrhagic cystitis?
Case 3
A 68-year-old male patient with a history of nephroureterectomy for transitional cell carcinoma presented with recurrent disease, causing obstruction in the remaining left single kidney. The patient has a ureteric stent and nephrostomy in situ (Figure 3). During a routine nephrostomy change, he was found to have a renal haematoma with persistent acute bleeding. Interventional radiology arranged embolisation of the inferior segmental artery of the left kidney as shown in Figure 3.

Figure 3.
- What are the indications for embolisation of the kidney?
- How is renal artery embolisation performed?
- What considerations are necessary in preparing a patient for renal embolisation?
- What materials are used in renal artery embolisation?
Answers
Case 1
- Prostate artery embolisation is a complex procedure due to frequent anatomical variations. The prostate artery most frequently branches off the gluteal-pudendal trunk of the internal iliac artery, but branches may arise from the internal pudendal and middle rectal arteries. The origin of the prostate arteries and the proportion of arterial supply can vary between the left and right prostate arteries therefore a bilateral approach can be necessary [1].
- CT angiography of the prostate.
- Inadvertent embolisation of other sites, retention of urine, bleeding of the prostate (haematuria and haematospermia), haematoma, pain, retrograde ejaculation and erectile dysfunction [2].
- The main indication for prostate artery embolisation as approved by the National Institute for Health & Care Excellence (NICE) is for treatment of lower urinary tract symptoms caused by benign prostatic hyperplasia [2]. It has also been described in the acute treatment of refractory bleeding of the prostate [3].
Case 2
- The inferior vesical artery which branches from the anterior division of the internal iliac artery. An anatomical drawing demonstrating the branches of the internal iliac artery can be viewed here: https://ars.els-cdn.com/content/image/1-s2.0-S2211568414000916-gr1.jpg
- Indications for embolisation include severe bleeding or intractable haematuria from carcinoma of the bladder or prostate, haemorrhagic cystitis, severe infection, radiation cystitis or iatrogenic causes such as bladder outflow surgery [4].
- Three main techniques can be used: superselective, selective and coil blockade. Superselective embolisation allows for identification of vesical or prostatic arteries and use of polyvinyl alcohol particles or tris-acryl gelatine microsphere using flow directed embolisation [4]. Coil blockade using platinum micro-coils can be used when selective catheterisation of vesical arteries cannot be performed [4].
- Complications include post-embolisation syndrome which can manifest as fever, nausea and vomiting, and pain. Other minor complications include infection, urinary incontinence or retention, prostatitis and ischaemia to the skin or penis. There is a small risk of total infarction of the bladder, but this is rare due to the rich anastomotic blood supply. Rare complications include paralysis of the gluteal muscles and Brown-Sequard syndrome which is a neurological syndrome affecting the spinal cord affecting motor function on the ipsilateral side and sensation contralaterally [4].
- Alternatives to bladder embolisation include conservative measures such as continuous bladder irrigation with a three-way catheter, bladder washouts, endoscopic bladder washout and diathermy, intravesical treatment with installations such as Alum or GAG (a combination of hyaluronic acid and chondroitin sulfate), hyperbaric oxygen therapy and cystectomy and urinary diversion.
Case 3
- Renal artery embolisation may be undertaken for benign or malignant pathology. Benign conditions include trauma, angiomyolipoma, renal artery aneurysm, arteriovenous malformations (AVMs) or fistula, poorly functioning kidney and postoperative bleeding [5].
- Vascular access is gained usually via the common femoral artery using a modified Seldinger technique with an 18-gauge needle. Depending on the technique, nonselective vs. selective aortorenal angiography catheters or microcatheters are advanced to the renal artery. Controlled occlusion of the specific renal artery branch is then performed [6].
- Patients may experience post embolisation syndrome (pain, pyrexia, nausea and vomiting) and need to be counselled and monitored appropriately with pain team involvement for pain and appropriate intensivist involvement for resuscitation. With adequate analgesia and anti-emetics most episodes can be managed conservatively [5].
- Embolisation of small vessel branches includes use of the following materials: alcohol, polyvinyl particles, microspheres and / or Gelfoam® until contrast stasis is noted in the targeted kidney [6].
References
1. Zhang G, Wang M, Duan F, et al. Radiological findings of prostatic arterial anatomy for prostatic arterial embolization: preliminary study in 55 Chinese patients with benign prostatic hyperplasia. PLoS One 2015;10(7):e0132678.
2. National Institute for Health and Care Excellence. Prostate artery embolisation for lower urinary tract symptoms caused by benign prostatic hyperplasia IPG611. 2018
https://www.nice.org.uk/guidance/ipg611
[accessed 23 May 2024].
3. Stężewska A, Stężewska M, Żabicki B, Salagierski, M. The application of prostate artery embolization for the management of intractable prostate bleeding. Cent European J Urol 2020;73(3):328-35.
4. Loffroy R, Pottecher P, Cherblanc V, et al. Current role of transcatheter arterial embolization for bladder and prostate hemorrhage. Diagnostic and Interventional Imaging 2014;95(11):1027-34.
5. Somani BK, Nabi G, Thorpe P, et al. Therapeutic transarterial embolisation in the management of benign and malignant renal conditions. Surgeon 2006;4(6):348-52.
6. Sauk S, Zuckernan DA. Renal artery embolization. Semin Intervent Radiol 2011;28(4):396-406.
