Case 1

1. What does this sagittal magnetic resonance imaging (MRI) scan show?
2. Which cancers commonly cause this?
3. What is the acute management?
Case 2
1. What is the diagnosis?
2. What local effects can this mass cause?
Case 3

1. What abnormalities are seen on this bone scan?
2. What is the mostly likely urological diagnosis?
3. What is the radiation dose of this scan?
Case 4

1. What is the abnormality?
2. What are the possible causes of the results shown?
3. What is the acute management?
Urological Complications of Malignancy - answers
Case 1
-
Spinal cord compression.
-
Breast, prostate, lung, kidney, thyroid.
-
Corticosteroids (loading dose of at least 16mg dexamethasone followed by 4mg six-hourly), analgesia, bisphosphonates, spinal decompression surgery or radiotherapy.
Case 2
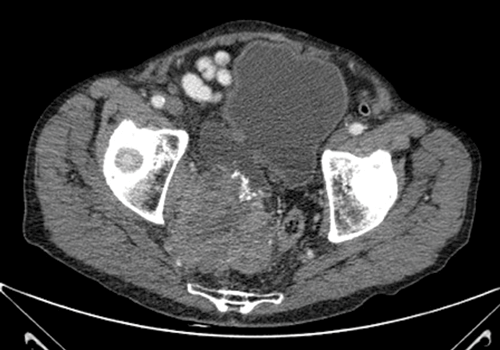
-
Large tumour within bladder diverticulum.
-
Invasion and compression of local structures causing: haematuria, pain due to mass effect, neuropraxia (sacral nerve compression), altered bowel habit (rectal compression).
Case 3
-
Increased uptake in thoracic spine, pelvis and left femur suggestive of bony metastases. Bilateral hydronephrotic kidneys. Patient is catheterised. Extravasation at injection site in right antecubital fossa.
-
Bony metastases secondary to prostate cancer, with bilateral hydronephrosis secondary to bladder invasion or pelvic lymphadenopathy.
-
6.3mSv.
Case 4
-
Hypercalcaemia.
-
Advanced malignancy, hyperparathyroidism, bone metastases, sarcoidosis, hyperthyroidism, drugs (Thiazide diuretics).
-
IV fluids (0.9% saline 3-6 litres / 24 hour), diuretics once rehydrated (furosemide 40mg IV boluses), bisphophonates (30-90mg IV pamidronate).
