Part 2 of this topic is available here.
Case 1
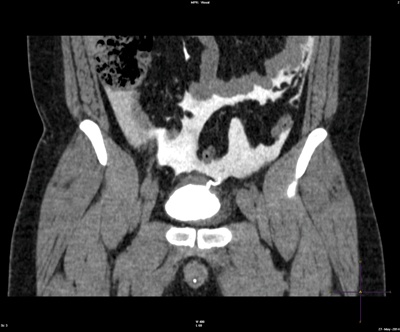
A 45-year-old male presented with acute onset abdominal pain following a fall whilst out drinking.
A CT cystogram was arranged as he developed haematuria and acute renal impairment.

1. What is the diagnosis?
2. How do you perform a standard cystogram?
3. What other type of bladder injury can occur and how common is each?
4. What is the principle for surgical repair?
Case 2
A 23-year-old male sustained a penile fracture and could not void. He went on to have an ultrasound of his penis and an urethrogram.
1. What injury has been demonstrated?
2. How are urethral injuries classified?
3. What surgical principle should be adhered to during repair?
Case 3
A 32-year-old male was kicked in the scrotum during a game of rugby. A clinical image and ultrasound of the testes is shown.


1. What is the diagnosis?
2. When should an attempt at repair be performed?
3. How are these injuries classified?
4. What are the principles of surgical management?
Urological trauma - answers
Case 1
1. Intra-peritoneal bladder perforation (note contrast leaking into peritoneal cavity and defect in bladder).
2. Catheterise patient: 300-400mls of dilute (50:50) water soluble contrast is installed into the bladder via gravity. Films are taken in early filling phase, full bladder (AP, oblique and posterior) and post void stage.
3. Intraperitoneal (30-40%), extraperitoneal (50-60%) or combined intra-extraperitneal (5-10%).
4. Uncomplicated extraperitoneal rupture can be safely managed by catheter drainage alone. Surgical intervention may be necessary for bladder neck involvement, the presence of bone fragments in the bladder wall, or concomitant rectal injury. Catheter drainage for 7-14 days, with a cystogram prior to catheter removal. Intraperitoneal rupture should be managed by formal surgical repair. Other abdominal organs should be inspected and urinomas drained. Operative repairs of the bladder should be performed by a two layer closure (mucosa and detrusor) with absorbable sutures. Cystogram should be performed before catheter removal.
Case 2
1. The penile ultrasound shows a mid-shaft defect in the corpus spongiosum. Retrograde urethrogram shows a subtle mucosal breach at mid penile urethral level with leakage of contrast. This is consistent with an anterior urethral injury.
2. Urethral injury can be classified as blunt or penetrating. The location is divided into anterior urethral injury (bulbar, penile and navicular) and posterior urethral injuries (prostatic and membranous). Severity of injury is classified by the American Association for Surgery and Trauma (AAST).
3. Penile fractures require early surgical exploration to close the cavernosal defect. The urethral injury should be repaired at the same time. A small urethral injury can be repaired by simple closure, while a complete rupture requires spatulation of the disrupted ends and anastomotic repair over a catheter.
Case 3
1. Rupture of testicular tunica albuginea.
2. Early surgical intervention for blunt trauma is associated with higher salvage rates (94% vs. 79%).
3. Scrotal trauma can be divided into blunt, penetrating and degloving injures. Severity of injury is classified by the American Association for Surgery and Trauma (AAST).

4. Surgical exploration involves evacuation of clots and haematoma. Necrotic tissue and tubules should be excised with closure of the tunica albuginea (with absorbable sutures).
